いつもの脳MRI画像から
認知症リスク因子を
定量化するAI解析
エムビジョンヘルスはMRI撮影データをクラウドにアップロードするだけで、受診者への結果レポートを簡単出力。脳萎縮と白質病変を数値化し、脳ドックの新たな価値を創出します。


エムビジョンヘルスが選ばれる理由
脳ドックの価値を最大化し、医療機関様の経営と受診者の健康管理を強力にサポートします。
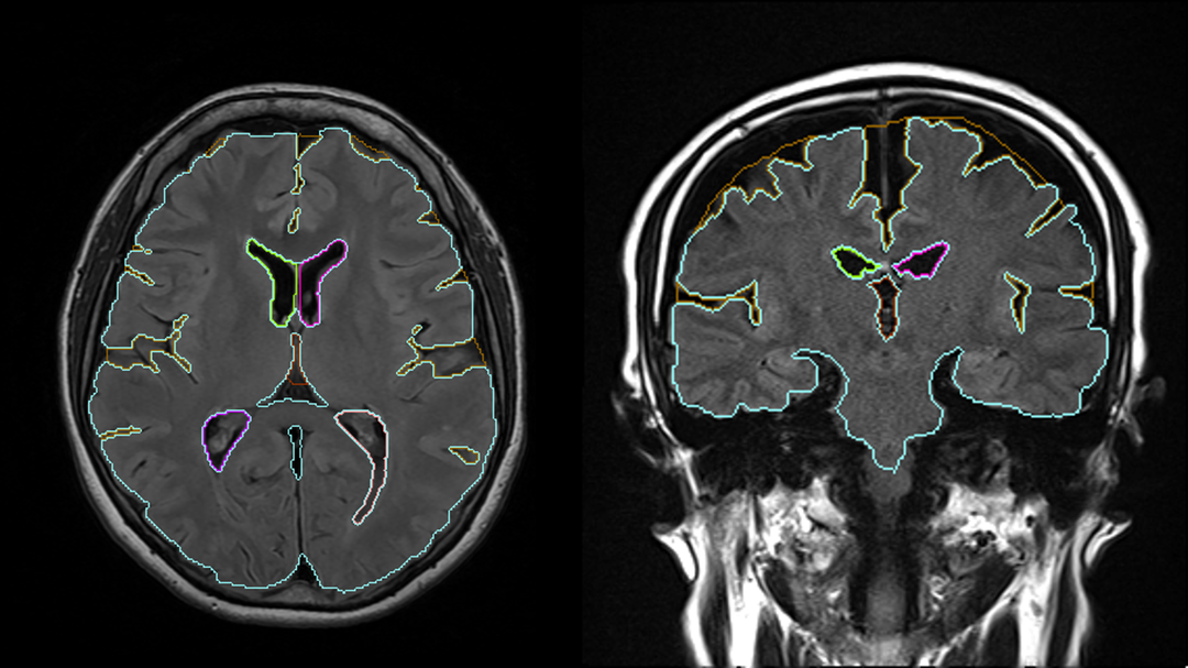
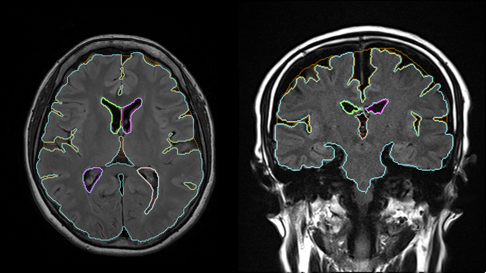
AIが認知症リスク因子を定量化
認知機能低下の要因となる脳萎縮や白質病変、全脳505構造を解析。人間の目では評価が難しい微細な変化も定量化します。
脳ドック受診の動機を新たに形成
従来の脳動脈瘤検知に加え、関心の高い「認知症リスク因子」を可視化することで、受診者の健康意識を高めリピート率を向上させます。
MRIの稼働率と時間単価を向上
既存のMRI装置で撮影したデータを活用するため、新たな設備投資は不要。空き時間を有効活用し、検査単価のアップに貢献します。
少ない現場負担で導入・運用
撮影データのクラウドアップロードのみで解析完了。3省2ガイドライン準拠のセキュリティで、安全かつ手軽に運用可能です。
提供しやすく、受診したくなるサービス設計

継続的な健康管理への意識向上をサポートします。
脳ドックの品質を
ワンランク上へ
エムビジョンヘルスの導入は、単なるツールの導入ではありません。
受診者に「安心」と「未来への対策」を提供する、新しい価値の創造です。
AI解析による早期発見
認知症発症の先行指標である脳萎縮や白質病変を早期に捉え、予防行動への動機づけを行います。
追加撮影不要
3D T1、2D T1、2D FLAIRに対応。普段通りの撮影フローで運用でき、検査時間の延長はありません。
専門医サポート
結果レポートに関するお問い合わせや、提携専門医による受診者への相談機会もご提供可能です。
導入コスト不要
初期費用や固定費は一切不要。利用した分だけの従量課金制で、リスクなく導入いただけます。
導入までの流れ
面談・お申込み
弊社担当者との面談後、貴院にて導入をご決定いただき、お申し込み、ご契約へと進みます。
テストデータ送信
貴院MRIの撮影データを弊社のクラウドにアップロードいただき、結果レポートが正常に出力されるか確認します。
販促のお手伝い
受診者向けのパンフレット、貴院待合室のモニターに投影するスライドショーなど、幅広い販促素材をご用意しています。
サービス開始
受診者への案内開始とサービス提供を開始します。貴院での運用がスムーズに進むようサポートいたします。
代表者紹介
エムビジョンヘルスは、世界トップクラスの脳画像研究の知見を活かして開発されています。

森 進
創業者 / 代表取締役CEO
ジョンズ・ホプキンス大学医学部放射線科 教授
JHU 脳画像科学センター所長、JHU 高解像度MRIセンター所長を歴任
エムビジョンヘルスのレポートは、長年にわたり脳画像研究に携わってきた専門家の知見を基に開発されています。 受診者の皆様にわかりやすく、かつ正確な情報をお届けすることを心がけています。
研究実績
Neuro部門選出 (2015) - Radiology誌
導入事例
全国130施設以上の医療機関様にご導入いただいています。
よくあるご質問
Q.DICOMデータはどのように送るのですか?
セキュアなクラウド環境を利用して送信します。3省2ガイドラインに準拠した方法で実施可能ですので、セキュリティ面でも安心してご利用いただけます。
Q.MRIの撮影条件について教えてください
普段脳ドックで撮影いただいている要件をそのまま利用できます。3D T1, 2D T1, 2D FLAIRに対応しており、追加撮影も要りません。
Q.低磁場のMRIでも利用可能ですか?
はい、利用可能です。
Q.経年データの取り扱いは可能ですか?
はい、可能です。将来の脳ドック受診データは勿論のこと、貴院で過去同一受診者のデータをお持ちの場合は、過去の経年データを取り込んで脳萎縮・白質病変の推移を見ることができます。
Q.結果レポートのサンプルを事前に見ることはできますか?
はい。本ページの右上、最下部等にある「お問い合わせ・資料請求」からサンプルをご覧いただけます。
Q.販促資材の用意はありますか?
はい、掲示用ポスター、封入用チラシなど、様々な販促素材をご用意しています。
Q.導入までにどれくらいの期間が必要ですか?
最短で1週間ほどです。テストデータ送信、購入方法の設定などを経て、エムビジョンヘルス受診者の受け入れが開始可能になります。
Q.料金体系について教えてください
導入費用・保守費用はありません。詳細は、本ページの右上、最下部等にある「お問い合わせ」からご連絡下さい。
メディア掲載実績


















